哈佛全新类 ChatGPT 癌症诊断 AI 登上 Nature,正确率最高 96% ...

2024-11-11 03:02| 发布者: 雪姬| 查看: 209| 评论: 0

摘要: 克日,来自哈佛医学院等机构的科学家们开辟了一种名为CHIEF(ClinicalHistopathologyImagingEvaluationFoundation,临床构造病理学成像评估底子)的多功能AI癌症诊断模子,并于9月4日登上「Nature」。论文地点:http ...

克日,来自哈佛医学院等机构的科学家们开辟了一种名为 CHIEF(Clinical Histopathology Imaging Evaluation Foundation,临床构造病理学成像评估底子)的多功能 AI 癌症诊断模子,并于 9 月 4 日登上「Nature」。

论文地点:https://www.nature.com/articles/s41586-024-07894-z

值得一提的是,只管近来出现了其他用于医学诊断的病理图像底子 AI 模子,但 CHIEF 是第一个可以或许猜测患者预后并在多个国际患者群体中验证的模子。

工作原理

当前,大多数 AI 癌症诊断体系通常被练习来实行特定使命。比方,检测癌症的存在,或分析肿瘤的基因特性,且通常仅实用于少数几种癌症范例。

相比之下,全新的 CHIEF 模子则具有雷同于 ChatGPT 的机动性 —— 不但可以或许实行多种使命,而且还能辨认差别癌症范例必要特殊关注的地区

通过读取肿瘤构造的数字切片,它可以检测癌细胞并根据图像中观察到的细胞特性分析肿瘤的基因特性。

别的,还可以猜测多种癌症范例的患者生存率,并准确定位肿瘤四周构造的特性,即肿瘤微情况。这些特性与患者对手术、化疗、放疗和免疫治疗等尺度治疗的反应有关。

更进一步的,CHIEF 还具有天生新看法的潜力 —— 它发现了此前未被以为与患者生存相干的特定肿瘤特性

研究团队指出,这些发现进一步证明白 AI 可以资助临床大夫高效、正确评估癌症,包罗辨认大概对尺度癌症疗法反应不佳的患者。

论文重要作者,哈佛医学院 Blavatnik 研究所生物医学信息学助理传授 Kun-Hsing Yu

模子练习与体现

起首,CHIEF 在 1500 万张未标志的图像上举行练习,这些图像被分成多个模子大概必要特殊关注的部门。

然后,CHIEF 在 6 万张全切片图像上举行了练习,此中包罗肺、乳腺、前线腺、结肠、胃、食管、肾脏、脑、肝、甲状腺、胰腺、宫颈、子宫、卵巢、睾丸、皮肤、软构造、肾上腺和膀胱等构造的全切片图像。

这种练习方法,使得模子不但关注图像的局部,还可以或许联合整个图像,将某一局部的特定变革与团体接洽起来。从而,CHIEF 在举行癌症分析时可以或许思量更广泛的配景信息,更全面地解读图像,而不是仅仅专注于某个特定地区。

练习完成后,研究团队在 19400 多张全切片图像上测试了 CHIEF 的性能。这 19400 多张全切片图像来自环球 24 家医院和患者群体中网络的 32 个独立数据集。

总体上,CHIEF 在以下使命中比其他最先辈的 AI 方法高出 36%:癌细胞检测、肿瘤劈头辨认、猜测患者效果、以及辨认与患者治疗反应相干的基因和 DNA 模式

无论肿瘤细胞是通过活检照旧手术切除得到,CHIEF 的体现都同样精彩。无论利用何种技能对癌细胞样本举行数字化处置惩罚,它的正确性也同样高。

研究职员表现,这种顺应性使 CHIEF 可以或许在差别的临床情况中利用,而当前大部门 AI 癌症诊断模子通常只能在通过特定技能获取的构造中体现精良。

CHIEF 的 4 种应用

癌症检测

CHIEF 在癌症检测中的正确率到达了近 94%,测试涵盖了 15 个数据集,此中包罗 11 种癌症范例。

在另一个涵盖 5 个活检数据集的测试中,CHIEF 到达了 96% 的正确率,此中包罗食道、胃、结肠和前线腺在内的多种癌症范例检测。

当研究职员用数据集之外的手术切除肿瘤切片来测试 CHIEF 时,模子的正确率凌驾了 90%。

模子留意力得分的可视化表现,CHIEF 正确辨认了玄色素瘤、肺癌和肾癌的癌变地区

分析肿瘤的基因特性

肿瘤的基因构成包罗了将来肿瘤发展和最佳治疗方案的关键线索。为了获取这些信息,肿瘤学家通常会对肿瘤样本举行 DNA 测序。

但由于将样本送往专业的 DNA 测序实行室必要肯定的本钱和时间,天下各地广泛没有举行通例的具体的基因组分析。纵然是在资源富足的地域,这一过程也大概必要数周时间。

不外,这是 AI 可以弥补的空缺。

研究职员称,对于图像中特定的基因组非常,辨认其细胞模式,大概提供一种快速且经济的替换基因组测序的方案。

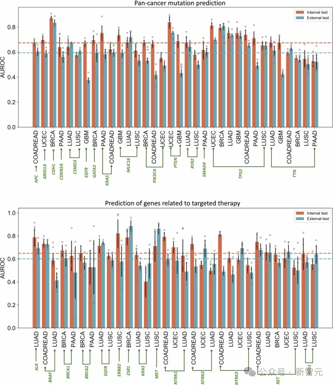
CHIEF 在猜测肿瘤的基因变异方面优于现有的 AI 方法。这种新的 AI 方法乐成辨认了与癌症生长和克制相干的多个紧张基因特性,并猜测了肿瘤在各种尺度癌症疗法过程中的关键基因突变。

CHIEF 还检测到了特定的 DNA 模式,这些模式与结肠肿瘤对一种称为免疫查抄点克制的免疫疗法的反应结果相干。

在观察全构造图像时,CHIEF 辨认出 54 个常见突变癌症基因中的突变,总体正确率凌驾 70%,优于当前用于基因组癌症猜测的最先辈 AI 方法。

研究团队利用 CHIEF 模子来猜测特定基因突变,这些突变与 FDA(美国食品药品监视管理局)答应的靶向治疗方法的结果有关。研究涉及的 18 个基因分布在人体的 15 个差别剖解部位。

CHIEF 在多种癌症范例中都到达了高正确率。在检测一种名为弥漫性大 B 细胞淋巴瘤的血液癌症中的 EZH2 基因突变时,CHIEF 到达了 96% 的正确率;在检测甲状腺癌中的 BRAF 基因突变时,CHIEF 的正确率到达了 89%;在检测头颈部癌症中的 NTRK1 基因突变时,正确率为 91%。

CHIEF 在猜测癌症范例的构造病理学图像中的基因突变状态方面取得了很高的结果

猜测患者生存率

基于初次诊断时得到的肿瘤构造病理图像,CHIEF 可以或许乐成猜测患者的生存期。

总体上,CHIEF 猜测高风险和低风险殒命率的本领在来自 17 家差别机构的患者样本中得到了测试和验证。

在全部研究的癌症范例和患者群体中,CHIEF 可以或许区分恒久生存的患者和短期生存的患者。CHIEF 的体现比其他模子好 8%。

在患有晚期癌症的患者中,CHIEF 的体现比其他 AI 模子高出 10%。

辨认差别癌症范例必要特殊关注的地区

该模子在图像上辨认出与肿瘤侵袭性和患者生存率相干的显着模式。

为了可视化特定的地区,CHIEF 在图像上天生了热图。当人类病理学家分析这些由 AI 天生的热门时,他们发现了一些反映癌细胞与四周构造相互作用的风趣信号。

模子留意力的可视化表现了肺癌患者生存猜测中的紧张地区

此中一个特性是,在恒久生存者的肿瘤地区中,免疫细胞的数目比短期生存者更多。Yu 指出,这一发现有其公道性,由于更多的免疫细胞大概表明免疫体系已被激活来攻击肿瘤。

在观察短期生存者的肿瘤时,CHIEF 辨认出了一些必要关注的地区。这些地区的特性包罗各种细胞身分的非常巨细比例、细胞核上更多的非典范特性、细胞之间较弱的毗连,以及肿瘤四周地区中较少的结缔构造。

这些肿瘤四周另有更多的殒命细胞。比方,在乳腺肿瘤中,CHIEF 指出构造内的坏死(或细胞殒命)是一个必要关注的地区。另一方面,生存率较高的乳腺癌患者肿瘤四周,更有大概保持雷同于康健构造的细胞布局。

研究团队指出,与生存率相干的视觉特性和必要关注的地区因癌症范例而异。

参考资料:

  • https://scitechdaily.com/96-accuracy-harvard-scientists-unveil-revolutionary-chatgpt-like-ai-for-cancer-diagnosis/

  • https://hms.harvard.edu/news/new-artificial-intelligence-tool-cancer

本文来自微信公众号:微信公众号(ID:null),作者:静音,原标题《哈佛推出全新类 ChatGPT 癌症诊断 AI,登上 Nature!正确率高达 96%》

广告声明:文内含有的对外跳转链接(包罗不限于超链接、二维码、口令等情势),用于通报更多信息,节流甄选时间,效果仅供参考,IT之家全部文章均包罗本声明。


路过

雷人

握手

鲜花

鸡蛋
返回顶部